Contact Cedar Smiles Orthodontics in Marysville, OH

Looking for a friendly, modern orthodontist in Marysville, OH? At Cedar Smiles Orthodontics, we help kids, teens, and adults achieve confident, healthy smiles using braces, Invisalign, and advanced digital orthodontic care. From your very first visit, you’ll notice the difference in clear communication, thoughtful treatment planning, and a team that truly treats you like family.

  • Doctor-led care with Dr. Rola Alkhatib: Every patient is treated and guided by Dr. Rola, ensuring consistency, attention to detail, and personalized care from the first consultation through the final retainer.
  • Certified Invisalign provider: With extensive experience using clear aligners, Dr. Rola delivers predictable, effective Invisalign results for children, teens, and adults.
  • Advanced digital technology: Tools such as iTero digital scanning and modern imaging allow for precise treatment planning, improved comfort, and more efficient visits.
  • Warm, family-friendly atmosphere: Our office is designed to feel calm and welcoming, creating a low-stress experience for patients of all ages.
  • Rooted in the Marysville community: Cedar Smiles Orthodontics is proud to serve local families and build long-lasting relationships within the community.
  • Orthodontic care for every stage of life: From early Phase I treatment for children to comprehensive orthodontics for teens and adults, every plan is tailored to fit each patient’s needs and lifestyle.

Cedar Smiles Orthodontics is conveniently located in Marysville, OH, making it easy for families to find us whether you’re coming from downtown or nearby communities. Our office is just minutes from Uptown Marysville, close to familiar landmarks like Coleman’s Crossing and right across the street from Benny’s Pizza. 

We’re easily accessible from major routes including US-33, Industrial Parkway, US-36, and Route 4, helping patients reach our office quickly from all directions. Many families recognize the area near Memorial Hospital, Marysville High School, and shopping and dining along Coleman’s Crossing Boulevard.

With clear signage and convenient on-site parking, arriving for your appointment is simple and stress-free, no circling or confusion required.

We proudly welcome patients from Marysville (43040) and nearby communities, including Dublin (43016, 43017), Plain City (43064), Delaware (43015), Richwood (43344), and surrounding Union County areas. Whether you’re coming from just down the street or a short drive away, getting to our office is easy and straightforward.

Meet Our Orthodontists in Marysville, OH

Dr. Rola Alkhatib at Cedar Smiles Orthodontics in Marysville, OH

Dr. Rola Alkhatib is an experienced orthodontist dedicated to helping patients achieve healthy, confident smiles through thoughtful, personalized care. With over 10 years of clinical experience, she is known for her attention to detail, clear communication, and commitment to delivering high-quality orthodontic treatment for children, teens, and adults.

At our clinic, Dr. Rola provides doctor-led care at every stage of treatment, ensuring consistency and precision from the first consultation through the final results. Her approach is centered on long-term oral health, comfort, and function, not just straight teeth.

Dr. Rola uses modern orthodontic techniques and digital technology, including clear aligners, advanced brace systems, and digital treatment planning, to create efficient, predictable, and comfortable treatment experiences. Each plan is customized to the individual, reflecting her belief that no two smiles, and no two patients, are the same.

Patients appreciate Dr. Rola’s calm, supportive style and her ability to explain treatment options in a clear, approachable way. She is deeply committed to patient education, transparency, and outcomes that are built to last.

Dr. Rola believes orthodontics can positively impact confidence, health, and quality of life. Her goal is to guide every patient through a smooth, rewarding treatment journey, one that delivers results patients can feel good about for years to come.

Awards & Certifications

American Association of Orthodontists Cedar Smiles Orthodontics in Marysville, OH
Invisalign Provider Cedar Smiles Orthodontics in Marysville, OH

What Are Our Financing & Insurance Options?

At Cedar Smiles Orthodontics, we believe high-quality orthodontic care should be accessible and stress-free. That’s why Dr. Rola Alkhatib offers flexible financing options and works with most insurance plans to help make treatment fit your budget.

From clear payment plans to insurance support, our team will walk you through every option, so you can focus on your smile, not the paperwork.

Affordable care. Clear answers. No surprises.

Financing Cedar Smiles Orthodontics in Marysville, OH

What Orthodontist Services Do We Offer?

At Cedar Smiles Orthodontics, Dr. Rola Alkhatib provides comprehensive orthodontic care designed for children, teens, and adults, using modern techniques and personalized treatment plans to help every smile thrive.

Types of Braces Cedar Smiles Orthodontics in Marysville, OH

Braces

Traditional and modern braces designed to gently guide teeth into proper alignment while improving bite function and long-term oral health.

Invisalign Clear Aligners Cedar Smiles Orthodontics in Marysville, OH

Invisalign Clear Aligners

Discreet, removable clear aligners that straighten teeth comfortably and fit easily into busy lifestyles for teens and adults.

Retainers Cedar Smiles Orthodontics in Marysville, OH

Orthodontic Retainers

Custom retainers that help protect your results and keep your smile straight long after active treatment is complete.

Early Orthodontics Cedar Smiles Orthodontics in Marysville, OH

Early Orthodontics

Proactive care for growing children that supports healthy jaw development and helps prevent more complex issues later on.

Teen Orthodontics Cedar Smiles Orthodontics in Marysville, OH

Teen & Adults Orthodontics

Customized treatment options for teens and adults, focused on comfort, efficiency, and confident results at every age.

Airway Orthodontics Cedar Smiles Orthodontics in Marysville, OH

Airway Orthodontics

Orthodontic approaches that consider jaw development and airway health to support overall function, not just straight teeth.

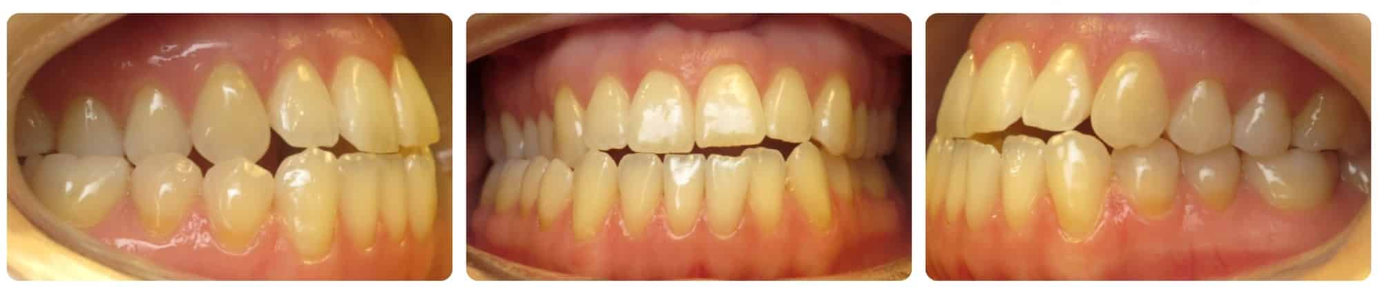
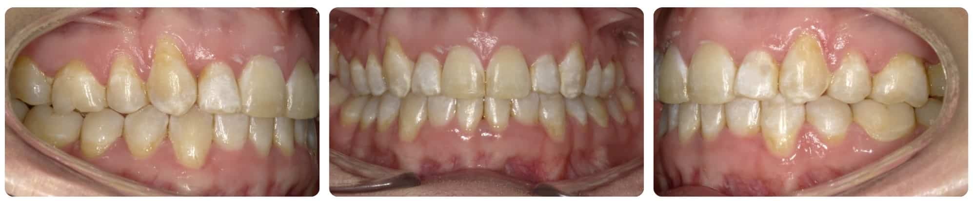
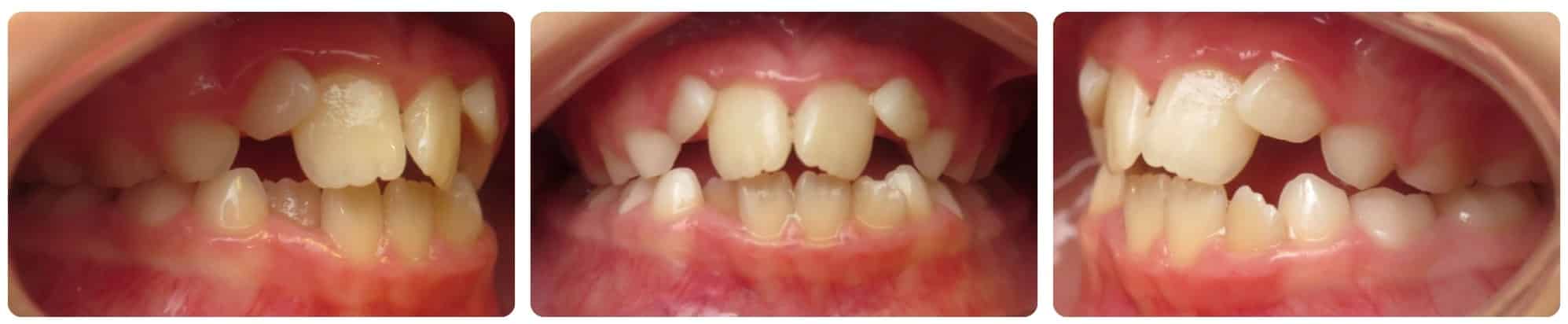
Before & After Gallery

See how orthodontic care can truly transform a smile. Our Before & After Gallery highlights real patient results from treatments such as braces, Invisalign, and early orthodontic care.

From subtle refinements to complete smile transformations, these results reflect Dr. Rola Alkhatib’s attention to detail, personalized planning, and commitment to long-lasting outcomes. Explore the gallery to see what’s possible, and imagine what your smile could become.

Read What Our Happy Clients Have to Say!

The office is amazing, you will feel at ease and the interior is superb! Dr. Rola makes sure that I am fully informed about the treatment plan. She’s knowledgeable and takes time to explain everything. Stephanie is also courteous and accommodating. I’m so happy with my experience and would recommend Cedar Smiles Orthodontics!
I came in for a consultation about TMJ issues and possible cosmetic adjustments, and Dr. Rola was phenomenal. She was honest about my options and didn’t push treatment that might not even help — a refreshing change from other offices I contacted. As someone without dental insurance, she also worked with me on an affordable in-house financing plan with no interest. She educated, didn’t oversell, and genuinely had my best interest at heart. Highly recommend!
I had a really great Invisalign experience with Dr. Rola! She is very knowledgeable and takes the time to make sure you feel informed. I genuinely felt like she cared about her patients by making sure you get the best results. I’m so happy with my experience and would highly recommend her to anyone considering Invisalign!
WOW! This office is incredible. Dr. Rola is so kind and knowledgeable - she really knows her stuff! I love that this office is brand new and beautiful, it really makes you feel at ease. The Marysville community is so lucky to have Cedar Smiles Orthodontics! I highly recommend it!
I couldn’t recommend Dr. Rola more highly. As a fellow orthodontist, I have a deep appreciation for the level of care, precision, and judgment that goes into creating a beautiful, healthy smile—and I would trust her completely with my own family. She is incredibly kind, gentle, and thoughtful in the way she treats her patients. She takes the time to explain everything clearly and creates a calm, positive experience, which makes such a difference for both kids and adults. If you’re looking for an orthodontist in Marysville, OH who truly cares about her patients and delivers exceptional results, Dr. Rola is an outstanding choice.
We love Dr. Rola!
I had a wonderful experience being treated by Dr Rola! She really cares about her patients. She listens to what they have to say, and helps them make the best informed decision. With her you will get individualized care and a doctor who is truly invested in your treatment. Her kindness and down to earth attitude makes Dr Rola the best choice for children and adults alike.
We had a wonderful experience with Dr. Rola and can’t recommend her highly enough. She treated my son and took a thoughtful, conservative approach to his orthodontic care. Another orthodontist had recommended extracting a tooth, but Dr. Rola was able to successfully create a treatment plan that avoided extraction altogether. She was knowledgeable, thorough, and took the time to explain options clearly, which gave us a lot of confidence in her recommendations. Most importantly, she always made my son feel comfortable throughout the process. We’re extremely grateful for her expertise and care, and very happy with the results.
Dr. Rola is highly professional and takes the time to truly understand my needs. She explains treatment options clearly and thoroughly, ensuring I feel informed and comfortable throughout the process. Thanks to her care and attention to detail, I am now very confident in my smile.
Dr. Rola is an absolute gem! Fabulous Orthodontist, Genuine care for patients needs…..The Best
We had such a great experience with Dr. Rola at Cedar Smiles Orthodontics! From the moment you walk in, the office feels warm, welcoming, and so well organized. The space is beautiful and spotless, and the entire team is friendly and professional. Dr. Rola is not only incredibly knowledgeable and skilled, but she’s also genuinely kind and patient. She takes the time to explain everything clearly and makes sure you feel comfortable and confident about the treatment plan. You never feel rushed, and she truly listens to your questions and concerns. It’s rare to find an orthodontist who combines clinical excellence with such a caring, personal touch. We’re so grateful to have found her and would absolutely recommend Dr. Rola and Cedar Smiles Orthodontics to anyone looking for high quality, compassionate orthodontic care!
Dr. Rola is such a kind soul. She listens to her patients and provides individualized care to children and adults. She’s an experienced clinician with gentle bedside manners and cares deeply about her patients. She’s trained to screen for airway concerns and is experienced with expansion for children and adults, braces and Invisalign. I’m so excited that Dr. Rola is opening her practice here in Marysville.
I’m so excited for Dr. Rola to open her own orthodontic practice!
Dr. Rola has been absolutely amazing with all three of my children. Each of them had very different needs, and she handled every situation with incredible expertise, care, and compassion. My daughter had a particularly complex case, with both upper canines impacted requiring exposures, along with TMJ issues. Dr. Rola created an exceptional treatment plan that addressed every concern thoughtfully and thoroughly. The end result is a beautiful, confident smile that we are so grateful for. My middle son completed Invisalign treatment with her, and my youngest started with Phase 1 treatment at a very young age. He had extreme anxiety during his first few appointments, but Dr. Rola was so patient, understanding, and kind. She truly took the time to make him feel comfortable and safe. Now he’s actually excited to begin Phase 2 treatment — which speaks volumes about the positive experience she created for him. All three of my children now have beautiful smiles thanks to Dr. Rola. She genuinely cares about her patients and makes it her mission to provide top-of-the-line care. She truly puts her heart into every single patient, and it shows in her work and the confidence she gives her patients. We are beyond grateful for her dedication and expertise! Thank you Dr. Rola!

Frequently Asked Questions

Choosing orthodontic care comes with plenty of questions, and that’s completely normal. Below are answers to some of the most common things families and adults in Marysville, OH ask when exploring orthodontic treatment with Dr. Rola Alkhatib.

No referral is needed. You can schedule a consultation directly with Cedar Smiles Orthodontics. We’re happy to coordinate with your family dentist if needed, but you’re always welcome to start with us.

Not at all. While a confident smile is a great benefit, orthodontic treatment also helps improve bite function, oral hygiene, jaw comfort, and long-term dental health.

Yes. Adults can achieve excellent results with orthodontic treatment. Dr. Rola regularly treats adult patients using discreet and effective options like Invisalign and modern braces.

Yes. Cedar Smiles Orthodontics welcomes patients from surrounding communities including Dublin, Plain City, Delaware, and other Union County areas. Our location is easy to reach from major roads.

Once treatment is complete, retainers are used to help maintain your results. Dr. Rola will guide you on proper retainer wear to keep your smile straight for years to come.